症例紹介
50代女性 :下顎・奥歯・両側欠損をインプラントで構築した症例
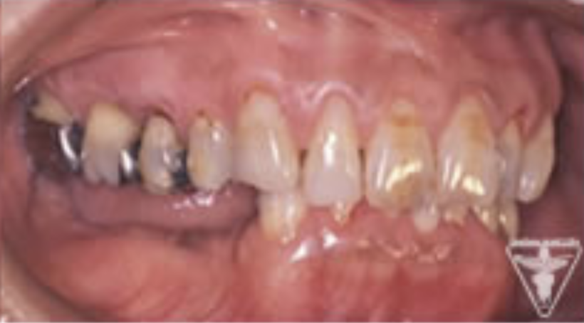
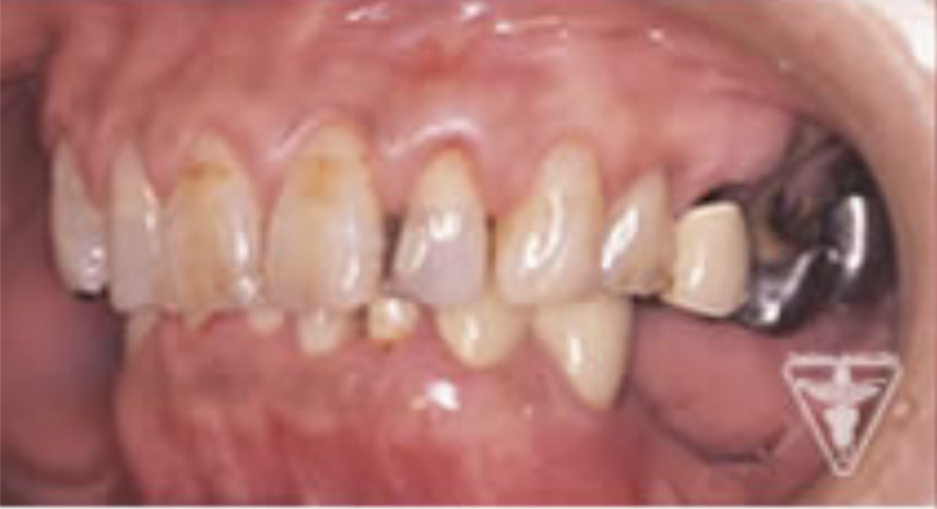
治療前後の比較


症例について
「良く噛めて、見た目にもきれいになりたい。」という訴えで、ご紹介で来院していただきました。
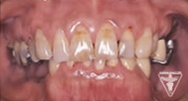
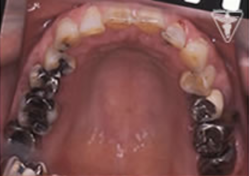
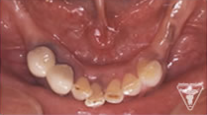
治療前
下の奥歯が左右なくなっており、かみ合わせが深くなっています。
顎のずれは認めませんが、歯肉が厚く中に炎症を取りこみやすいタイプの歯肉です。
左の顎の骨が大きく溶けてなくなっております。
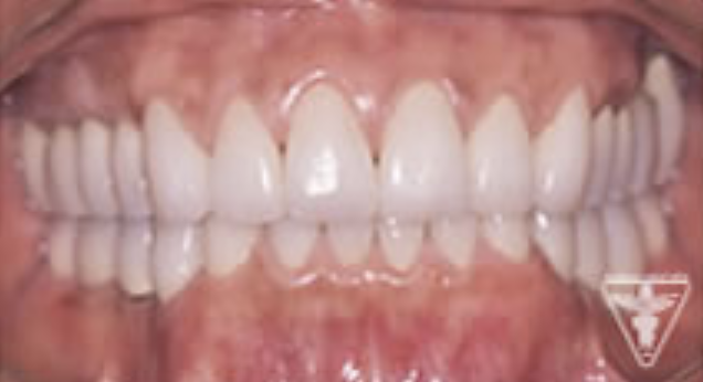
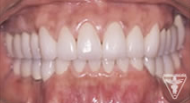
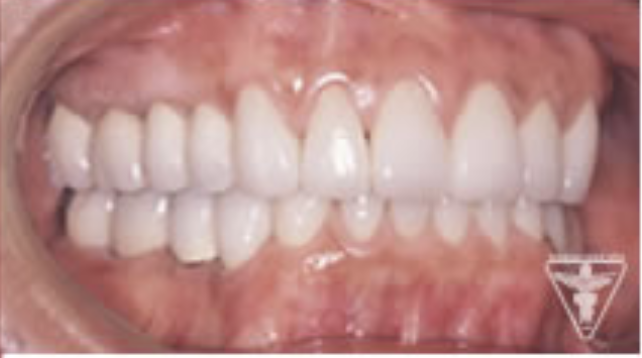
治療後
かみ合わせの深さを改善し、左下の骨を作り人工歯根で再構築しました。
前歯は、患者さんの希望でフルセラミックで対応しました。
「良く噛めて、自信をもって笑顔になれる。」と評価をいただきました。
定期的なリコールもしっかり守られ、心から感謝いたしております。
ご自身の管理能力も高く、長期にわたり大きなトラブルがないように炎症・噛む力のバランスをしっかり管理させていただきます。
治療前後の比較


治療後の経過状態
治療期間・治療費・リスク

治療後のリコール時におけるリスクマネジメント
- 術後10年経過し、維持的リコールを守られ、歯周の炎症、歯肉ポケットの管理
- 噛む力のコントロールにより、変化のない口腔内を維持していく
















